Retour aux archives







Bonnes Nouvelles de Novembre 2018
Divers
12 articlesFrançois Villeroy de Galhau : « Il faut être persévérant dans les réformes »
Le gouverneur de la Banque de France estime qu’il faudra deux à trois ans pour que les réformes produisent des effets. Il rappelle que le pouvoir d’achat des Français devrait croître d’au moins 1 % cette année et à nouveau l’an prochain.
la-croix.com

Très bonne nouvelle pour les salaires et l'économie française en 2018
economiematin.fr
15 milliards pour « gagner la bataille des compétences »
la-croix.com

PSA devient champion d'Europe devant Volkswagen
lefigaro.fr

Incroyable ! Air France et les syndicats signent un accord sur les salaires
latribune.fr
10 raisons de déployer une politique en faveur du bonheur au travail dans son organisation
linkedin.com
En Suède, ces bus roulent grâce aux eaux usées
Et ils sont 90% moins polluants que les bus du 20ème siècle encore en circulation partout dans le monde. A la fin de chaque année : 80 000 tonnes de CO2 en moins dans l’atmosphère, soit l’équivalent de 40 000 voitures en circulation.
detours.canal.fr
Santé. Ces Bretons empêchent les cellules de mourir
ouest-france.fr

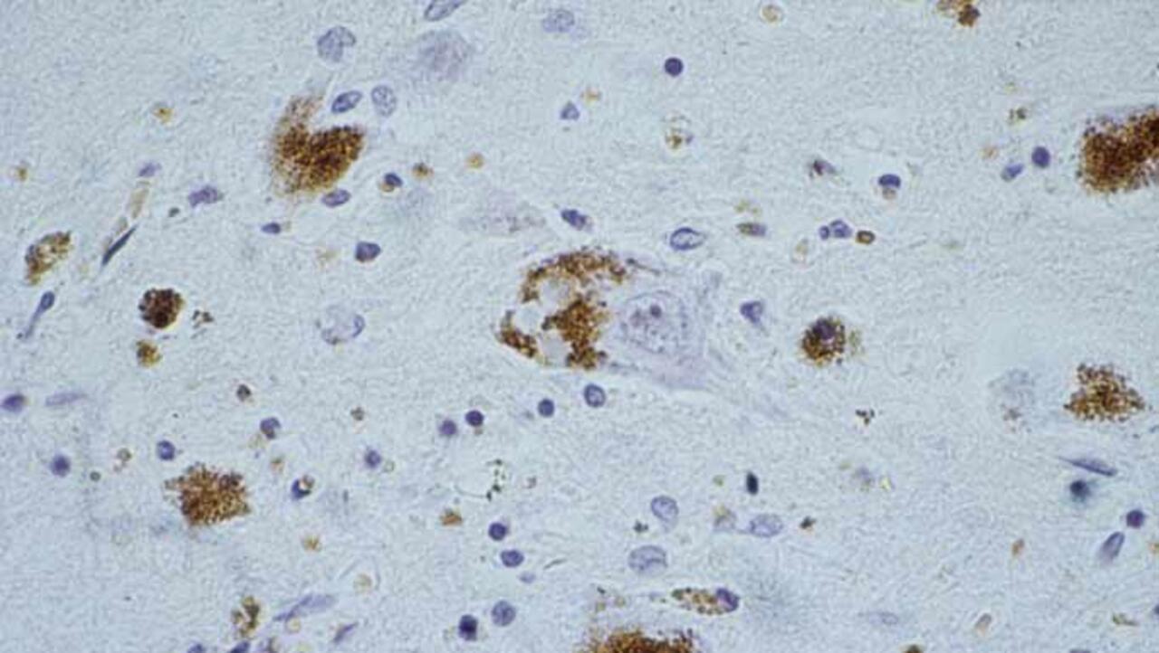
Japon: contre Parkinson, la greffe de cellules souches dans le cerveau
rfi.fr
Bordeaux: A la clinique Tivoli, un bras robotisé pour l'implant de prothèses du genou
20minutes.fr
Route du Rhum, le triomphe d’un vieux loup de mer
la-croix.com
Timothée, le petit vacancier qui avait envoyé une carte postale pour remercier la police, a été retrouvé
francebleu.fr
